• Liên kết mạng xã hội với Nha khoa Thùy Anh để cập nhật tin tức nhanh nhất.
Nha khoa Thùy Anh Nha khoa thẩm mỹ 0975.814.662

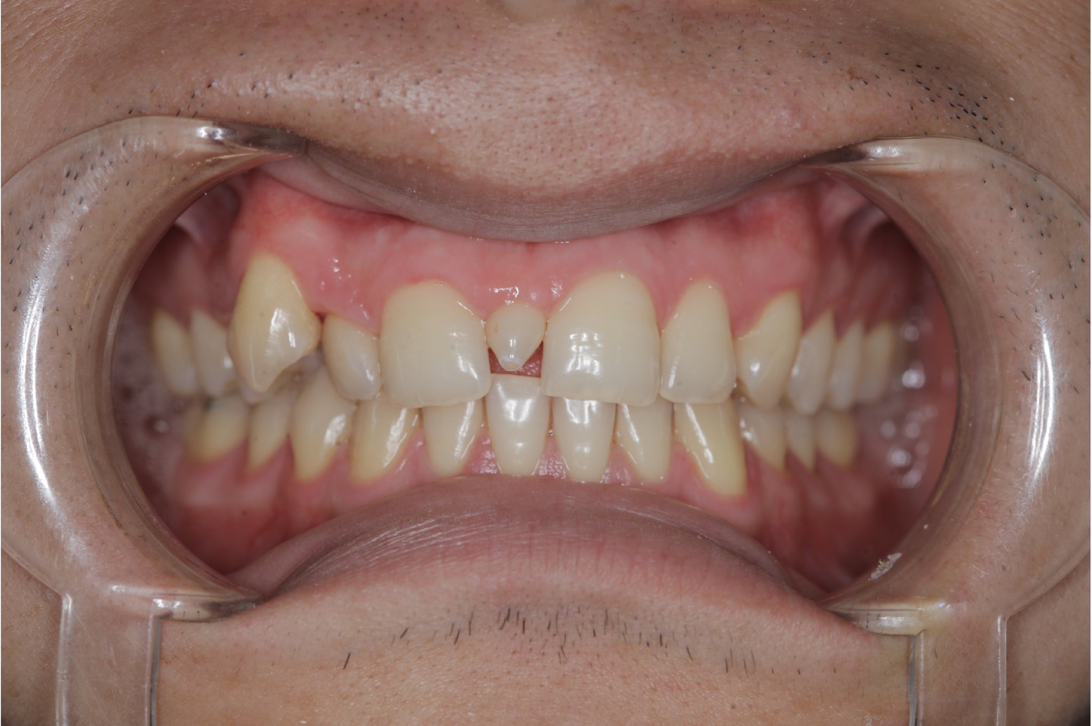
Răng cửa

Mặt dán sứ veneer hay còn gọi là các Laminate sứ, ở Việt Nam thường được gọi là mặt dán sứ, đây là phương pháp thẩm mỹ răng mới rất được ưu chuộng hiện nay đặc biệt là ở các quốc gia có nền nha khoa phát triển như Mỹ, Nhật, Châu Âu…
Ê BUỐT RĂNG
Mặt dán sứ Veneer là lớp phôi sứ rất mỏng (chỉ khoảng 0,3mm – 0,6mm) được gắn lên răng thật với mục đích khôi phục tình trạng răng bị nhiễm màu, răng vỡ mẻ, răng thưa…Mặt dán sứ như một chiếc áo phía ngoài răng cải thiện các khuyết điểm của răng.
Dán veneer sứ là phương pháp sử dụng một mặt sứ rất mỏng dán ra phía ngoài của răng để khắc phục các khuyết điểm của răng như màu xỉn, dị dạng, khe thưa…
MẶT DÁN SỨ VENEER CẢI THIỆN KHE THƯA, MÀU RĂNG, MÒN MEN RĂNG.
Mặt dán sứ veneer có độ dày rất mỏng vì vậy đòi hỏi bác sĩ cần có trình độ chuyên môn sâu, và kinh nghiệm dày dặn để có thể thực hiện những bộ răng sứ veneer hoàn hảo.
Mặt dán sứ Veneer như một chiếc áo bằng sứ khoác lên mặt ngoài răng có thể mang đến cho bạn một nụ cười tỏa nắng với thẩm mỹ tự nhiên nhất. Độ bền cao, không bị bong khi sử dụng, cải thiện màu sắc răng trở nên trắng sáng hơn và chống nhiễm màu trở lại, tương hợp sinh học tốt với mô lợi. Tuy nhiên, nó cũng có những chỉ định riêng, sau đây, chúng ta sẽ cùng tìm hiểu sâu hơn về Veneer. Mặt dán sứ Veneer thường có độ dày khoảng từ 0.3 – 0.5 mm ở mặt ngoài và một phần phía rìa cắn.
Trong cuộc sống hiện đại, việc sở hữu một nụ cười đẹp rạng rỡ với tỷ lệ đạt chuẩn là một lợi thế vô cùng lớn giúp chúng ta trở nên tự tin và thành công hơn trong cuộc sống. Và với sự xuất hiện của công nghệ thiết kế nụ cười DSD, chúng ta hoàn toàn có thể hình dung một cách trực quan nhất hình ảnh nụ cười và gương mặt của bản thân ngay sau khi thực hiện các dịch vụ làm răng, vậy có khi nào bạn thắc mắc một quy trình chuẩn thiết kế nụ cười theo công nghệ này diễn ra như thế nào? Hãy cùng tìm hiểu trong bài viết hôm nay của Nha khoa Thùy Anh nhé.
Răng kẹ thừa dị dạng giữa 2 răng cửa là một dạng bẩm sinh ở răng khá ít gặp.Tình trạng này mặc dù không ảnh hưởng quá nhiều đến chức năng ăn nhai nhưng lại ảnh hưởng đến thẩm mỹ, sự tin tin khi giao tiếp của người gặp phải. Vậy khi gặp phải tình trạng này có điều trị được hay không thì cùng Nha Khoa Thùy Anh tìm hiểu cụ thể hơn trong bài viết dưới đây.
Răng thưa là vấn đề răng miệng khá phổ biến khi các răng không khít sát với nhau gây ảnh hưởng đến thẩm mỹ, vệ sinh răng miệng và sinh hoạt hàng ngày của người gặp phải. Răng thưa thường gặp với vùng răng cửa dễ dàng quan sát bằng mắt thường khi giao tiếp, vậy những phương pháp điều trị răng thưa hiệu quả các bạn cùng theo dõi bài viết dưới đây nhé.
Hiện nay có 2 phương pháp phục hình răng sứ đang được nhiều người lựa chọn để cải thiện hình thể và màu sắc đó chính là bọc răng sứ và mặt dán sứ Veneer.
Mặt dán sứ veneer là phương pháp được áp dụng để cải thiện tình trạng răng có khe thưa, răng xỉn màu, răng dị dạng, răng khấp khểnh nhẹ…Với bề dày 0.3 – 0.5mm.

Phản hồi của khách hàng

Đây chính là "sản phẩm mơ ước" mà tôi mong muốn từ lâu, nay mới có cơ hội để trở thành hiện thực. Về căn bản tôi rất hài lòng với niềm mơ ước đã đạt được. Cảm ơn BS Tùng, cảm ơn các cộng sự của BS, cảm ơn Nha Khoa Thùy Anh đã mang lại cho tôi niềm vui và nụ cười mơ ước này
Chỉnh nha hàm trên 1 năm ở Răng Thùy Anh, tôi thấy chất lượng dịch vụ rất tốt, máy mọc hiện đại. Các anh chị làm rất nhiệt tình, chu đáo mang lại cho tôi hàm răng đẹp, nhai không đau buốt. Giờ tôi rất tự tin khi giao tiếp và nói chuyện với mội người.
Sau nhiều năm mất răng, tôi đã phục hồi lại về độ thẩm mỹ. Tự tin hơn trong giao tiếp, tôi rất hài lòng thái độ phục vụ Nha Khoa Thùy Anh. cảm ơn các bác sỹ và đội ngũ nhân viên tận tụy, nhiệt tình.

Dịch vụ của nha khoa Thùy Anh