• Liên kết mạng xã hội với Nha khoa Thùy Anh để cập nhật tin tức nhanh nhất.
Nha khoa Thùy Anh Nha khoa thẩm mỹ 0975.814.662

Implant

Hiện nay, cấy ghép implant được rất nhiều khách hàng lựa chọn để thay thế cho răng mất. Implant chính là giải pháp thay thế răng tốt nhất. Tại Thái Nguyên, nhiều trung tâm nha khoa đã chuyển giao và áp dụng thành công kỹ thuật trồng răng implant phục vụ người dân. Tuy nhiên cũng vì có nhiều sự lựa chọn nên không ít người quan tâm về phương pháp này có chung thắc mắc “Trồng implant ở đâu tốt nhất Thái Nguyên, cần có những yếu tố nào khi điều trị với phương pháp này? Chi phí ở đâu là phải chăng nhất?”. Bài viết hôm nay Nha Khoa Thùy Anh chúng tôi sẽ giúp các bạn giải đáp câu hỏi này.
Chủ đề trong bài viết này sẽ cung cấp cho các bạn thông tin Phẫu thuật đặt Implant có những nguy hiểm gì?
Khi mất răng và lựa chọn phương pháp phục hình là cấy chân răng nhân tạo implant thì chắc hẳn ai cũng sẽ quan tâm, nó sẽ tồn tại được bao lâu? Trong bài viết này chúng tôi sẽ giúp các bạn trả lời câu hỏi làm sao để implant tại suốt đời?
Với sự tiến bộ của y khoa nói chung và nha khoa nói riêng, ngày nay khi một chiếc răng bị sâu nha sĩ sẽ cố gắng điều trị để giữ nó lại và bảo vệ bằng 1 bụp răng sứ. Khi mất răng thì sẽ có phương pháp điều trị phục hình mà nổi bật hiện nay là phương pháp cắm chân răng nhân tạo implant.
Implant phương pháp phục hình răng mất hiện đại nhất hiện nay. Chi phí cho điều trị cấy implant là bao nhiêu. Như các bạn biết giá trị của sản phẩm y tế thì phụ thuộc vào các yếu tố:
Bạn đã thực sự tìm hiểu kĩ về chân răng nhân tạo trước khi thực hiện cấy ghép? Trong bài viết này chúng tôi muốn cung cấp cho các bạn thông tin về “Những biến chứng và thất bại của cấy ghép implant”. Khi nền y tế càng phát triển thì thông tin càng được đưa đa chiều, để bệnh nhân hiểu được đa góc cạnh và chuẩn bị tâm lý tốt hơn. Việc chỉ đưa thành công, ưu điểm thì có thể khiến bệnh nhân không nắm rõ để chuẩn bị đủ tâm lý dẫn đến những quyết định chấp nhận điều trị sai lầm.
Khi nền y tế càng phát triển thì thông tin càng được đưa đa chiều, để bệnh nhân hiểu được đa góc cạnh và chuẩn bị tâm lý tốt hơn. Việc chỉ đưa những thành công, ưu điểm thì có thể khiến bệnh nhân không nắm rõ để chuẩn bị đủ tâm lý dẫn đến những quyết định chấp nhận điều trị sai lầm.
Cắm implant là một phương pháp phục hình răng đòi hỏi kỹ thuật, trình độ cao, vì vậy bác sĩ cần có chuyên môn và giàu kinh nghiệm. Trong đó việc chẩn đoán chính xác ban đầu là bước không thể thiếu.
Những yếu tố ảnh hưởng đến tỉ lệ thành công khi cấy ghép implant. Các nghiên cứu dịch tễ cho thấy tỷ lệ thành công implant sẽ cao hơn hẳn khi bệnh nhân chịu nghe những chỉ dẫn của nha sĩ. Những chỉ dẫn của nha sĩ thì gồm có lưu ý trước khi cấy implant, cách chăm sóc tại nhà sau khi cấy implant và cách sử dụng sao cho có hiệu quả nhất, giảm thiểu tối đa các biến chứng muộn có thể xẩy đến.
Bất kể một dịch vụ hay hàng hóa nào cũng có sự chênh lệch về chi phí giữa các nhà cung cấp và dịch vụ cắm chân răng nhân tạo Implant cũng không phải ngoại lệ. Vậy cắm một chân răng nhân tạo phục hình răng mất tại Thái Nguyên có chi phí là bao nhiêu?
Nha Khoa Thùy Anh tự hào là trung tâm cấy ghép Implant hàng đầu tại Thái Nguyên. Với đội ngũ bác sỹ tốt nghiệp hệ chính quy Đại học Y Hà Nội, phương tiện phẫu thuật hiện đại, vô trùng tuyệt đối. Đảm bảo quá trình cấy Implant an toàn, không đau, bảo hành trên 10 năm.
Làm cầu răng trên chân răng nhân tạo implant là chỉ định không hiếm gặp khi điều trị mất một số răng liền nhau, vậy làm cầu răng như vậy có tốt không và phương pháp này áp dụng cho trường hợp nào thì trong bài viết dưới đây chúng ta cùng tìm hiểu cụ thể hơn.
Cấy ghép implant là một điều trị khó, yêu cầu khắt khe về bác sĩ thực hiện và chất lượng trụ implant nên thường có giá thành cao. Vậy trụ implant giá rẻ có thực sự an toàn? Hậu quả khi sử dụng chúng là gì? Đâu là địa chỉ nha khoa uy tín thực hiện cấy ghép implant? Bài viết dưới đây sẽ giúp bạn có được câu trả lời.
Cấy implant là phương pháp trồng răng tốt nhất hiện nay. Implant gồm có 3 phần, phần thứ nhất là chân răng, được cấy thẳng vào xương hàm thay thế chân răng mất. Phần thứ 2 là trụ phục hình abutment đó là phần kết nối với chân răng và nhô lên khỏi lợi để răng sứ bọc lên đó. Phần thứ 3 là răng sứ, sẽ là 1 chụp sứ hoặc hàm giả gắn lên abutment.
Khi mất một răng cửa bạn có thể lựa chọn các giải pháp phục hồi lại như làm hàm giả tháo lắp, làm cầu răng sứ, hoặc cấy chân implant. Trong đó cấy chân răng implant là giải pháp tốt nhất, bạn sẽ không phải can thiệp bào mòn 2 răng bên cạnh. Implant cũng ngăn ngừa được hiện tượng tiêu xương tiến triển khi mất răng.
Trước đây khi implant chưa phổ biến nếu bạn mất một hoặc một vài răng thì phương pháp phục hình tốt nhất là làm cầu răng sứ, tuy nhiên sau thời gian sử dụng thì cầu răng sứ bắt đầu bộc lộ những nhược điểm của nó và người dùng bắt đầu tìm phương án thay thế. Hiện nay khi implant đã rất phổ biến thì nhiều người muốn dùng nó để thay thế cầu răng. Vậy có thể thay thế cầu răng bằng implant hay không? Khi nào thì nên thay thế mời các bạn cùng theo dõi bài viết dưới đây của Nha Khoa Thùy Anh Thái Nguyên.
Cấy ghép implant hay nói cách khác là trồng implant là phương pháp sử dụng một hay nhiều trụ implant cấy vào xương hàm để thay thế răng thật đã mất. Implant là sản phẩm nhân tạo có cấu tạo hình trụ xoắn bằng chất liệu Titanium tinh khiết nên an toàn với cơ thể con người để đảm bảo khả năng ăn nhai vững chắc. Với khách hàng tại Thái Nguyên khi có ý định cấy ghép chân răng thì “địa chỉ cấy ghép implant tại Thái Nguyên” sẽ là điều bạn cần quan tâm để có điều trị an toàn và hiệu quả.
Trồng răng implant giá rẻ là điều bất cứ ai mất răng nào cũng mong muốn. Nhưng không phải cơ sở nào cùng có thể phục hình răng implant giá rẻ mà vẫn đảm bảo chất lượng, an toàn.
Trong bài viết hôm nay chúng tôi cung cấp thong tin về chủ đề ghép xương, nâng xoang trong cấy ghép implant. Đây là chủ đề không dễ để hình dung. Có thể nói là 1 nhánh nhỏ hỗ trợ cho việc cấy ghép implant nên kiến thức rất sâu. Không phải ca cấy implant nào cũng cần ghép xương, chỉ trong một số tình huống đặc biệt hoặc yêu cầu cao về thẩm mỹ chúng ta mới cần thực hiện.
Ghép xương –nâng xoang là 1 nhánh nhỏ hỗ trợ cho việc cấy ghép implant nên kiến thức rất sâu. Không phải ca cấy implant nào cũng cần ghép xương, chỉ trong một số tình huống đặc biệt hoặc yêu cầu cao về thẩm mỹ chúng ta mới thực hiện.
Về định nghĩa chúng ta có thể hình dung implant là 1 vít (chân răng nhân tạo) làm bằng chất liệu titanium (có tính tương hợp sinh học với cơ thể người) được cấy vào xương để thay thế chân răng mất, nhằm nâng đỡ phục hình răng sứ. Như vậy bản chất của quá trình thực hiện implant chính là cấy ghép trên cơ thể người, chính vì vậy để sử dụng được loại răng này cần có một thời gian nhất định cho vít implant ổn định trong xương hàm, thời gian trung bình cho quá trình là khoảng 3 tháng, tuy nhiên vấn đề còn phụ thuộc nhiều yếu tố chuyên môn khác nữa.
Theo nghiên cứu của Viện răng hàm mặt trung ương Việt Nam là một trong những nước có tỉ lệ người mắc các bệnh lý về răng cao nhất thế giới lên đến 90%. Trong đó tỉ lệ mất răng ở độ tổi 40 – 50 là rất cao. Mất răng để lại những hậu quả khôn lường nhưng không phải ai cũng ý thức được điều đó. Qua bài viết này chúng tôi muốn gửi đến các bạn những hậu quả khôn lường của việc mất răng cũng như những nguyên nhân gây mất răng.
Trồng răng nhân tạo implant được đánh giá là phương pháp tốt nhất giúp phục hình răng mất về cả phương diện ăn nhai và thẩm mỹ. Đây là một phẫu thuật phức tạp và đòi hỏi nhiều yếu tố để tạo nên một ca trồng răng thành công, trong đó phải kể đến trụ implant.Vậy liệu kích thước trụ có ảnh hưởng như thế nào đến kết quả trồng răng implant? Mời cô chú, anh chị cùng đón đọc thông tin qua bài viết dưới đây.
Trồng răng implant là phương pháp phục hồi một chiếc răng mất hiện đại, hiệu quả nhất hiện nay cho khả năng ăn nhai tương tự răng thật.Tuy nhiên khi mới trồng răng cũng sẽ có một khoảng thời gian người trồng ăn nhai sẽ khó khăn hơn bình thường. Vậy kiêng gì, ăn gì sau khi trồng răng implant để có quá trình lành thương và tích hợp chân răng tốt nhất?
Mất răng đặc biệt là răng cửa sẽ ảnh hưởng không ít đến chức năng ăn nhai và thẩm mỹ của. Khi mất răng cửa nếu không muốn ảnh hưởng đến cuộc sống và công việc thì sẽ cần tìm phương pháp phục hình răng sớm nhất. Chúng tôi nhận được câu hỏi từ bạn Hồng Hoa trên website của Nha Khoa Thùy Anh với nội dung như sau: Em bị mất 1 răng cửa do tai nạn chỉ còn chân răng thì nên phục hồi lại bằng phương pháp nào? Chi phí khoảng bao nhiêu? Hy vọng bác sĩ có thể giải đáp giúp em”
Răng vĩnh viễn sau khi thay có chức năng rất quan trọng, vừa đảm bảo thẩm mỹ vừa đảm bảo chức năng ăn nhai. Tuy nhiên vì một lý do nào đó mà răng có thể bị mất như sâu răng, viêm lợi, hay do tai nạn khiến răng không còn đảm bảo được chức năng của nó.
Mất răng dù 1 hay nhiều răng cũng sẽ ảnh hưởng đến chức năng ăn nhai hoặc thẩm mỹ, đặc biệt nếu mất răng lâu năm không được phục hình còn có thể khiến các răng xô lệch, sai khớp cắn hay tiêu xương hàm. Tuy hệ quả của mất răng là không hề nhỏ nhưng vì một lý do nào đó mà có rất nhiều người để tình trạng mất răng lâu năm xảy ra. Vậy mất răng lâu năm có trồng được không và phương pháp nào hiệu quả mời các bạn cùng theo dõi bài viết dưới đây.
Răng số 6 là chiếc răng hàm mọc ở độ tuổi khoảng từ 6-8 tuổi, được tính từ vị trí răng cửa đếm vào. Răng 6 là một chiếc răng hàm vĩnh viễn có chức năng quan trọng trong bộ máy nhai giúp cắn, nghiền nát thức ăn. Vì chỉ mọc 1 lần, không có răng thay thế nên việc chăm sóc, giữ gìn răng 6 là rất cần thiết. Nhưng chẳng may vì một lý do nào đó như: tai nạn, chấn thương, bị sâu phải nhổ bỏ…khiến răng 6 của bạn bị mất thì việc phục hình, trồng lại một chiếc răng mới là rất cần thiết.
Nâng xoang trong thực hiện cấy ghép implant là một thủ thuật cần thiết giúp hồi phục răng mất bằng implant nhưng không làm ảnh hưởng đến xoang hàm. Vậy trường hợp nào cần nâng xoang, khi nào nâng xoang kín khi nào nâng xoang hở, cùng theo dõi bài viết dưới đây để hiểu rõ hơn nhé.
Theo dòng chảy của thời gian cùng với quá trình lão hóa, những chiếc răng của các cô chú lớn tuổi cũng dần yếu đi, lung lay và dẫn đến nguy cơ gãy rụng. Điều này không chỉ ảnh hưởng tới việc ăn uống hàng ngày và tính thẩm mỹ, mất răng ở người lớn tuổi còn có thể kéo theo các hệ lụy nghiêm trọng cho sức khỏe như: Tiêu xương hàm, suy nhược cơ thể do ăn nhai kém và thiếu đi dưỡng chất cần thiết hay tình trạng loạn năng thái dương hàm,...
Khi bị mất răng lựa chọn phục hình bằng phương pháp làm cầu răng sứ hay cắm chân răng nhân tạo là việc khá khó khăn. Để có thể lựa chọn phương pháp phù hợp bạn cần có đủ thông tin để lựa chọn một cách đúng đắn và là người tiêu dùng dịch vụ thông thái.
Trồng răng implant là một phương pháp phục hình răng với những ưu điểm đáp ứng cả yêu cầu về chức năng ăn nhai và thẩm mỹ. Theo các chuyên gia về trồng răng thì tỉ lệ thành công của phương pháp này rất cao 97% đến 100%. Nhưng những ai có thể trồng răng implant, có phải ai cũng có thể trồng răng implant không thì bài viết dưới đấy chúng tôi sẽ giải đáp cho các cô chú, anh chị và các bạn.
Trồng răng implant mang lại nhiều lợi ích vượt trội, không chỉ giúp khôi phục cho trường hợp mất 1 răng, mà mất nhiều răng, mất răng toàn hàm cũng có thể áp dụng được phương pháp này. Hiện nay trồng răng implant đang là kỹ thuật an toàn, được nhiều người tin tưởng và lựa chọn. Tuy nhiên, nhiều người vẫn thắc mắc liệu bị bệnh tiểu đường thì có thể thực hiện trồng răng implant được không? Bài viết dưới đây của Nha Khoa Thuỳ Anh Thái Nguyên sẽ giúp bạn giải đáp thắc mắc này.
Cắm chân răng nhân tạo implant là một phương pháp trồng răng sứ hiện tại nhất hiện nay và đòi hỏi kĩ thuật thực hiện và quá trình chăm sóc hậu phẫu khá nghiêm ngặt và phức tạp. Nếu không thực hiện đúng kĩ thuật và chăm sóc tốt thì bệnh nhân rất có thể sẽ gặp phải những biến chứng sau khi trồng răng nhân tạo implant.
Bước đầu tiên trong quá trình cắm chân răng nhân tạo implant là khám tổng quát. Bác sĩ sẽ khám thực tế trên miệng để xác định rõ tình trạng mất răng và đưa ra cho bệnh nhân phương pháp phục hình răng phù hợp nhất.
Răng cấm hay răng cối là chiếc răng hàm số 6 và 7 mọc ở phía trong của hàm. Một người trưởng thành sẽ có 8 chiếc răng cấm gồm 4 chiếc hàm trên và 4 chiếc hàm dưới. Vậy răng cấm có thay khi bị mất không thì các bạn cùng theo dõi bài viết dưới đây nhé.
Răng số 7 sâu vỡ có nên nhổ bỏ không và sau khi nhổ bỏ có cần trồng lại không là câu hỏi mà chúng tôi nhận được rất nhiều trong quá trình tư vấn cho khách hàng. Những chiếc răng hàm sâu vỡ mang lại những cảm giác đau khó chịu kéo dài mà uống thuốc cũng không có nhiều tác dụng. Vậy phải làm gì khi gặp vấn đề đó thì chúng ta cùng theo dõi bài viết dưới đây.
Cấy ghép chân răng nhân tạo implant là điều trị y khoa liên qua đến sức khỏe của người thực hiện cấy ghép. Hiện nay có rất nhiều hãng cung cấp sản phẩm chân răng nhân tạo cũng như nhiều đơn vị nha khoa, bệnh viện thực hiện điều trị này. Vậy implant giá rẻ có thực sự an toàn?
Thành công của chân răng nhân tạo tùy thuộc vào nhiều yếu tố như trình độ bác sĩ, vấn đề vô trùng khi thực hiện cấy ghép. Một yếu tố vô cùng quan trọng quyết định nữa là sự hợp tác của bệnh nhân với bác sĩ, chăm sóc sau cấy implant để chân răng có điều kiện thuận lợi để tích hợp với xương hàm. Vậy sau cấy chân răng implant chăm sóc thế nào cho tốt?
Chế độ ăn uống sau cấy ghép implant có vai trò rất quan trọng trong việc giúp lành vế thương cũng như quá trình tích hợp trụ implant trong xương hàm. Dưới đây là những thực phẩm bạn nên bổ sung sau khi cấy ghép implant, mời bạn đọc cùng tham khảo.
Cha đẻ của implant nha khoa hiện đại là giáo sư Branemark đầu những năm 1950 ông đã tì ra hiện tượng tích hợp xương hàm với chất liệu titanium. Sau 15 năm là năm 1965 ông bắt đầu cấy trên bệnh nhân mất răng toàn hàm đầu tiên.
Bạn đang bị mất răng muốn phục hình một răng mới nhưng lại không biết tin tưởng nha khoa nào để thực hiện cắm chân răng nhân tạo Implant tốt và an toàn? NHững tiêu chí để đánh giá tiêu chuẩn của một nha khoa cũng có những tiêu chí cụ thể, bạn có thể tham khảo bài viết dưới đây để có được lựa chọn đúng đắn nhé.
Trước đây khi implant chưa ra đời hoặc chưa phát triển làm cầu răng sứ là phương pháp phổ biến để phục hình cho răng mất, cải thiện khả năng ăn nhai. Hiện nay khi implant ngày càng chứng minh được ưu điểm vượt trội và đã trở nên phổ biến thì nhiều khách hàng muốn thay thế cầu răng bằng implant. Vậy có thể thay thế cầu răng bằng implant được hay không và sẽ cần thực hiện quy trình như thế nào mời cô chú, anh chị theo dõi bài viết dưới đây của Nha Khoa Thùy Anh.
Nhắc đến nắn chỉnh răng hay chỉnh nha mọi người đều nghĩ nó chỉ giúp ích cho những trường hợp răng hô, móm hoặc khấp khểnh, nhưng nhiều trường hợp mất răng, chỉnh nha cũng có thể thay thế răng đó bằng một răng thật mà không cần phải trồng răng giả.
Bạn chỉ phải tìm hiểu, tìm đến implant khi bạn hoặc người thân đang bị mất răng. Nếu bạn có đủ răng thì không cần biết implant làm gì cả. Implant chính là giải pháp phục hình răng tốt nhất hiện nay. Vậy thì nhổ răng bao nhiêu lâu có thể cấy được implant hẳn là câu hỏi chung của nhiều người. Trong bài viết này chúng tôi sẽ cung cấp cho các bạn câu trả lời về vấn đề phục hình răng sau khi nhổ răng.
“ Sau khi nhổ răng có trồng răng luôn được không” là câu hỏi mà chúng tôi nhận được rất nhiều trong quá trình tư vấn cho khách hàng. Vậy sau nhổ răng có trồng được răng ngay không hay phải chờ vùng nhổ răng lành thường và chờ bao lâu thì có thể trồng được? Nha khoa Thùy Anh sẽ giải đáp cho quý cô chú, anh chị và các bạn trong bài viết ngày hôm nay.
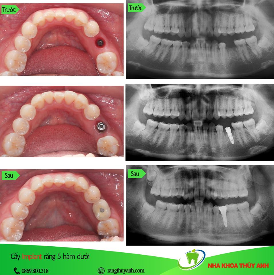
Cấy ghép chân răng nhân tạo implant là việc phục hình răng mất bằng một trụ chân răng nhân tạo đặc biệt, là phương pháp phục hình răng hiện đại nhất hiện nay vậy thời gian điều trị là bao lâu là câu hỏi mà nhiều người quan tâm.
Vậy thời gian cấy implant mất bao lâu là thắc mắc của bất cứ ai muốn cấy chân răng implant phục hình răng mất. Thời gian cấy chân răng nhân tạo tùy thuộc vào nhiều yếu tố như tình trạng sức khỏe răng miệng, loại trụ implant được cấy ghép, kế hoạch điều trị…
Tiêu xương răng là một trong những hậu quả nghiêm trọng sau khi mất đi một hay nhiều răng, gây ảnh hưởng đến thẩm mỹ, chức năng ăn nhai giảm sút và cản trở việc trồng lại răng giả sau này. Phương pháp trồng răng mất bằng chân răng nhân tạo implant là phương pháp phục hình răng hiện đại nhất hiện nay với khả năng hạn chế đến mức tối đa hiện tượng tiêu xương hàm diễn ra sau mất răng.
Trồng răng implant giá rẻ không chính hãng tưởng như có thể giúp tiết kiệm một phần chi phí nhưng thực ra lại không hề tiết kiệm mà còn dễ để lại những biến chứng với các mức độ nặng nhẹ khác nhau ảnh hưởng nghiêm trọng đến sức khỏe răng miệng của cô chú, anh chị.
Mất răng là vấn đề răng miệng mà bất kỳ khách hàng nào gặp phải cũng hết sức lo lắng và nóng lòng để được phục hồi răng. Vậy khi mất răng cần phục hồi bằng implant để đảm bảo ăn nhai thì phương pháp nào để vừa tiết kiệm thời gian vừa tiết kiệm chi phí? Trong bài viết này chúng tôi sẽ chia sẻ phương pháp trồng implant tức thì tại Nha Khoa Thùy Anh Thái Nguyên.
Răng cửa là chiếc răng mọc ở phía chính diện trên cung hàm, đóng vai trò quan trọng trong việc thẩm mỹ, ăn nhai cắn xé thức ăn. Vì nhiều lý do mà chiếc răng cửa của bạn bị mất làm ảnh hưởng tới việc giao tiếp, công việc và lấy đi sự tự tin vốn có của bạn. Việc mất răng cửa còn làm ảnh hưởng tới phát âm của bạn, trường hợp nếu bị mất răng cửa lâu ngày còn khiến cho vùng xương hàm bị tiêu, các răng mọc xô lệch, khuôn mặt trở nên có nhiều nếp nhăn làm bạn trông già thêm vài tuổi. Lúc này việc tìm cách trồng lại một chiếc răng mới là rất cần thiết để khôi phục lại chức năng ăn nhai, thẩm mỹ của mình, làm gia tăng chất lượng cuộc sống. Vậy hiện nay khi bị mất răng cửa, có những phương pháp nào để trồng lại một chiếc răng mới? Phương pháp nào là tốt nhất? Và quy trình để trồng implant răng cửa như thế nào? Chúng ta cùng tìm hiểu ở bài viết sau đây nhé!
Trồng răng implant all on 4 hoặc all on 6 là phương pháp phục hình lại răng mất vợi sự kết hợp giữa cấy ghép implant và hàm giả tháo lắp. Khi thực hiện chân răng sẽ được trồng vào xương hàm tại một số vị trí nhất định, sau đó hàm giả sẽ được gắn cố định lên trên các trụ implant giúp phục hình lại những răng đã mất.
Trồng răng implant là phương pháp phục hồi thay thế răng mất tốt nhất hiện nay. Phát minh ra phương pháp cấy chân răng nhân tạo vào xương hàm là 1 cuộc cách mạng nghành nha. Implant có rất nhiều những ưu điểm nổi bật không thể tìm thấy ở các phương pháp đương đại như:
Khi nói về phương pháp để phục hình răng mất thì hiện nay cấy ghép chân răng nhân tạo implant là phương pháp cho hiệu quả số 1 khi nó phù hợp với tất cả các vị trí mất răng và hầu hết các đối tượng khách hàng. Ưu điểm vượt trội nữa của chân răng nhân tạo là không hề can thiệp tới răng chắc khỏe bên cạnh, cho khả năng ăn nhai và cảm nhận thức ăn tương tự răng thật. Vậy cấy ghép chân răng mất bao nhiêu thời gian thì bài viết dưới đây chúng tôi sẽ giải đáp cho các bạn.
Trồng chân răng implant toàn hàm all on 4 đã được sử dụng phổ biến và khá lâu tại các nước như Mỹ, Anh, Đức… và hiện nay phương pháp này cũng đang dần phổ biến và được nhiều người tin dùng tại Việt Nam. All on 4 thay thế răng mất bằng cách cấy 4 trụ implant ở mỗi hàm để phục hồi khả năng ăn nhai, thẩm mỹ gần như răng thật.
Trồng răng implant toàn hàm all on 4 là một giải pháp phục hồi răng mất hiệu quả đối với trường hợp mất toàn bộ răng trên cung hàm. Tuy nhiên trồng răng toàn hàm có chi phí bao nhiêu và ưu điểm như thế nào thì là thắc mắc của rất nhiều cô/chú, anh/chị. Trong bài viết dưới đây chúng tôi sẽ giải đáp để quý cô/chú, anh/chị hiểu hơn về điều trị này.
Ghép xương là một thuật ngữ thường được nhắc đến khi thực hiện trồng implant, ghép xương được bác sĩ chỉ định khi vị trí trồng răng có mật độ xương hàm không đạt tiêu chuẩn để đặt trụ implant. Cùng tìm hiểu cụ thể hơn về ghép xương khi trồng răng trong bài viết dưới đây.

Phản hồi của khách hàng

Đây chính là "sản phẩm mơ ước" mà tôi mong muốn từ lâu, nay mới có cơ hội để trở thành hiện thực. Về căn bản tôi rất hài lòng với niềm mơ ước đã đạt được. Cảm ơn BS Tùng, cảm ơn các cộng sự của BS, cảm ơn Nha Khoa Thùy Anh đã mang lại cho tôi niềm vui và nụ cười mơ ước này
Chỉnh nha hàm trên 1 năm ở Răng Thùy Anh, tôi thấy chất lượng dịch vụ rất tốt, máy mọc hiện đại. Các anh chị làm rất nhiệt tình, chu đáo mang lại cho tôi hàm răng đẹp, nhai không đau buốt. Giờ tôi rất tự tin khi giao tiếp và nói chuyện với mội người.
Sau nhiều năm mất răng, tôi đã phục hồi lại về độ thẩm mỹ. Tự tin hơn trong giao tiếp, tôi rất hài lòng thái độ phục vụ Nha Khoa Thùy Anh. cảm ơn các bác sỹ và đội ngũ nhân viên tận tụy, nhiệt tình.

Dịch vụ của nha khoa Thùy Anh