I, ĐIỀU TRỊ TỦY LÀ GÌ? LÀM NHƯ THẾ NÀO?

Điều trị tủy răng là thủ thuật loại bỏ mô tủy nhiễm khuẩn hoặc không thể giữ lại sức sống, mô tủy là mô giàu thần kinh và mạch máu phân bố ở chân răng và thân răng.
Điều trị tủy gồm 2 quá trình loại bỏ mô nhiễm khuẩn tủy ở thân, chân răng, làm sạch ống tủy tạo hình ống tủy và hàn kín ống tủy theo 3 chiều không gian nhằm tránh tái nhiễm trùng. Điều trị tủy có thể diễn ra trong một lần hẹn hoặc nhiều lần hẹn tùy thuộc vào tình trạng nhiễm khuẩn, giải phẫu chân răng. Phim XQ được chụp trước, trong và sau khi hoàn thiện thủ thuật nhằm đảm bảo rằng quá trình điều trị tủy được thực hiện theo đúng tiêu chuẩn.
Quy trình điều trị tủy (hay còn gọi là điều trị nội nha, hút tủy) thực hiện dưới gây tê tại chỗ nhằm đảm bảo không đau trong suốt quá trình thực hiện. Nha sỹ sẽ yêu cầu bệnh nhân ra hiệu nếu có bất cứ cơn đau nhỏ nào xuất hiện nhằm bổ sung thêm lượng thuốc tê.
Sau khi gây tê, tiến hành đặt đê cao su cách ly răng với lưới, má, môi và nước bọt. Nha Khoa Thùy Anh là trung tâm nha khoa duy nhất bắt buộc đặt đê cao su như một tiêu chuẩn của một ca điều trị nội nha.
Lúc này Nha sỹ tiến hành mở tủy tạo lối vào tiếp cận các ống tủy chân răng. Sau khi đường vào đạt tiêu chuẩn, ống tủy sẽ được tạo hình và làm sạch bằng các file chuyên dùng. Quá trình làm sạch ống tủy luôn phải kết hợp với việc bơm rửa luieen tục dung dịch sát khuẩn. Sau khi ông tủy sạch, nha sỹ tiến hành hàn tủy bằng guta penrcha, hàn kín lỗ mở tủy bằng cement sinh học
Cần chú ý răng sau khi điều trị nội nha phải được bọc bảo vệ bằng răng sứ thẩm mỹ. Răng sứ có tác dụng ngăn cản sự thâm nhiễm nước bọt, vi khuẩn trở lại vào ống tủy. Đồng tời bảo vệ răng khỏi bị gãy vỡ trong quá trình ăn nhai
.jpg)
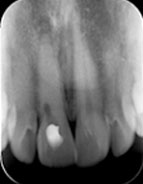
Đưa file vào ống tủy để xác định chiều dài chân răng.

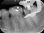
Chụp XQ kiểm tra sau khi hàn ống tủy
II, NHỮNG DẤU HIỆU VÀ TRIỆU CHỨNG CẦN ĐIỀU TRỊ TỦY
Răng có thể có một số triêu chứng điển hình trước khi có nhiễm khuẩn và đau. Đó có thể là một lỗ sâu lớn, răng gẫy vỡ hoặc viêm quanh răng nặng.
Dấu hiệu phổ biến chỉ định điều trị tủy răng là có cơn đau răng điển hình, đau là dấu hiệu của nhiễm trùng tủy. Trong trường hợp viêm tủy nhẹ răng có thể có dấu hiệu nhạy cảm với thực phẩm nóng lạnh. Trường hợp viêm tủy nặng, bênh nhân đau dữ dội từng cơn lan lên đầu, cơn đau xuất hiện tự phát và đau cả khi ngủ.
Khi tình trạng nhiễm trùng mãn tính răng có thể không đau nhưng có dấu hiệu sưng, đổi màu, có lỗ dò mủ, đau khi gõ vào.
Cần chú ý việc chẩn đoán và đưa ra chỉ định điều trị tủy cần kiến thức chuyên sâu, thỉnh thoảng bệnh nhân không thể phát hiện ra các triệu chứng lẩn khuất. Bệnh nhân chỉ phát hiện ra triệu chứng khi nó có biểu hiện của giai đoạn cuối. Vì vậy, việc đi Nha sỹ định kỳ là hết sức quan trọng
III, MỘT SỐ TÌNH HUỐNG KHÓ TRONG ĐIỀU TRỊ TỦY RĂNG.
1, Biên độ há miệng của bệnh nhân nhỏ, bệnh nhân không há miệng được lâu, dễ buồn nôn gây khó khăn cho nha sỹ trong thao tác.
2, Hệ thống ống tủy phụ quanh chân răng hiện nay vẫn chưa tiếp cận được vì vậy có thể sau khi điều trị tủy rất tốt ống tủy được làm sạch và hàn kín theo 3 chiều không gian nhưng khi nhai bệnh nhân vẫn có cảm giác kích thích, khó chịu.
3, Giải phẫu hệ thống ống tủy vô cùng phức tạp và khác nhau trên từng bệnh nhân
- Ống tủy bị caxi hóa khiến cho việc tìm ống tủy vô cùng khó khăn việc làm sạch, tạo hình tỉ mỉ và mất thời gian.

Ống tủy bị caxi hóa sẽ giảm xác suất thành công sau điều trị
- Chân răng cong, dễ gẫy dụng cụ trong quá trình thao tác, ngoài ra khó làm sạch và tạo hình

Chân răng cong và dài là một trong những thách thức với điều trị nội nha.
Tại Nha Khoa Thùy Anh chúng tôi:
- Đầu tư hệ thống máy nội nha Morita nhằm đo chính xác chiều dài chân răng, hỗ trợ quá trình tạo hình và làm sạch.
- Sử dụng XQ kỹ thuật số, khảo sát cấu trúc chân răng trước, trong và sau điều trị.
- Sử dụng đê cao su trong tất cả các trường hợp điều trị nội nha.
- Sử dụng dung dịch bơm rửa chuyên dụng, có tính sát khuẩn mạnh.
- Dụng cụ vô trùng tuyệt đối.
Với những phương tiện và con người hiện có chúng tôi luôn đem đến cho bệnh nhân những trải nghiệm điều trị nhẹ nhàng nhất, mỹ mãn nhất.

-Bản quyền thuộc Nha Khoa Thùy Anh, quý vị đăng lại xin trích dẫn nguồn-