NHỮNG ĐIỀU CẦN BIẾT VỀ RĂNG KHÔN
Địa chỉ Nha Khoa Thùy Anh Thái Nguyên:
Hotline: 0975.814.662 - 0869.800.318 - 0972.859.993
- Cơ sở Ba Hàng: Số nhà 488 - đường Phạm Văn Đồng, Phổ Yên, Thái Nguyên
- Cơ sở Sông Công: số nhà 149 - đường Cách Mạng Tháng 8, Phường Thắng Lợi, TP Sông Công
- Cơ sở TP Thái Nguyên: số nhà 184 - đường Thống Nhất, phường Đồng Quang, TPTN
I. RĂNG KHÔN LÀ GÌ?
Răng Khôn hay còn gọi là răng số 8, răng hàm lớn vĩnh viễn thứ 3 là răng mọc cuối cùng khi các răng khác đã mọc ổn định trên cung hàm. Răng khôn mọc dao động trong khoảng 16 - 26 tuổi. Hầu hết các răng khôn mọc trong một khoảng không gian nhỏ, bị giới hạn của xương hàm nên thường bị lệch, mọc kẹt, mọc ngầm.
II, TẠI SAO CẦN PHẢI NHỔ RĂNG KHÔN?
1, Sâu răng.

Sâu răng khôn - những điều cần biết về răng khôn.
Nước bọt, vi khuẩn và mảnh vụn thức ăn có thể đọng xung quanh răng khôn mọc lệch, những vị trí này rất khó làm sạch vì vậy phát động một phản ứng sâu răng, nhiễm khuẩn quanh răng.
2, Viêm quanh thân răng.

Hình ảnh lợi trùm răng khôn - nhổ răng khôn uy tín Thái Nguyên.
Khi răng khôn mọc không hoàn toàn trên cung hàm đẫn đến hiện tượng lợi chùm, vùng lợi chùm này giống như một chiếc túi đọng thức ăn, vi khuẩn gây nên viêm nhiễm tại chỗ dẫn dến hôi miệng, đau, sưng và há miệng hạn chế. Nhiễm khuẩn có thể lan rộng vào vùng má và vùng cổ gây nên tình trạng trầm trọng, ảnh hưởng đến sức khỏe toàn thân.
3, Phục vụ chỉnh nha.
Nha Khoa Thùy Anh Thái Nguyên.
Nhiều bệnh nhân trẻ tuổi tại Nha Khoa Thùy Anh thực hiện điều trị chỉnh nha làm đều răng trong một khoảng thời gian tương đối dài, răng khôn có thể gấy ra quá trình tái chen chúc răng khi chúng mọc trên cung hàm và đẩy dồn các răng khác.
Một số trường hợp nhổ răng khôn để có khoảng di xa răng.
4, Nhổ răng khôn phục vụ phục hình.

Bệnh nhân thực hiện phục hình tháo lắp nền hàm nhựa nên được nhổ các răng khôn mọc lệch, ngầm. Vì khi răng khôn mọc dưới nền hàm sẽ gây ra những kích thích mô nha chu, gây bất vững ổn hàm giả.
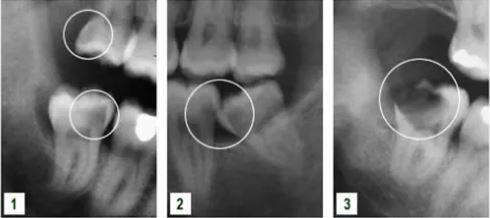
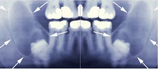
5, Nhổ răng khôn do hình thành nang xung quanh răng.

Nhổ răng khôn uy tín Thái Nguyên - Nha Khoa Thùy Anh Thái Nguyên.
Các nang (vùng mũi tên) có thể phát triển từ biểu mô xung quanh răng khôn mọc ngầm. Nang gây nên hiện tượng phá hủy xương hàm, vùng phá hủy rộng gây xô đẩy và tổn thương các răng bên cạnh. Phẫu thuật loại bỏ răng khôn và bóc tách nang là rất cần thiết để ngăn chặn hiện tượng tiêu xương.
Mộ số trường hợp hiếm gắp khối u gấy ra do răng khôn mọc ngầm có thể gây gẫy xương tự phái nếu kích thước khối u lớn.
6, Dự phòng trước khi đi du lịch, công tác lâu ngày, trước khi quyết định mang thai.

Nếu bạn phải di chuyển đến một nơi nào đó mà việc tìm kiếm một nha sỹ chuyên sâu về nhổ răng rất khó khăn, lời khuyên chúng tôi dành cho bạn là nên giải quyết sớm những răng khôn mọc lệch này trước khi thực hiện công việc.
Khi mang thai các yếu tố miễn dịch kháng thể trong cơ thể người phụ nữ xuống rất thấp. Sự thay đổi của nội tiết tố làm giảm sức đề kháng vì vậy giai đoạn này rất dễ bùng phát cơn đau răng khôn. Nguy hiểm hơn nữa trong thời kỳ mang thai vì phải bảo vệ thai nhi nên không thẻ sử dụng tràn lan các thuốc kháng sinh, kháng viêm liều cao vì vậy nhổ răng khôn trước khi quyết định mang thai nên là một điều trị thường quy. Tại Nha Khoa Thùy Anh Thái Nguyên, chúng tôi tiếp nhận rất nhiều trường hợp bệnh nhân bị viêm quanh thân răng trong thai kỳ khiến cho việc giải quyết là vô cùng phức tạp.
7, Đau áp lực.

Đau khi ăn nhai, khi nói hoặc ấn vào vùng mọc răng khôn trong một số trường hợp tình trạng đau lan sang cả những vùng răng khác.
III, TÔI CÓ MỘT CHIẾC RĂNG KHÔN MỌC LỆCH, VẬY TÔI NÊN NHỔ VÀO THỜI ĐIỂM NÀO?
Hiện nay Nha sỹ khuyến cáo rằng nhổ răng khôn nên thực hiện trong khoảng 14 - 22 tuổi khi chúng gây biến chứng hoặc chưa gây biến chứng. Phẫu thuật trong giai đoạn này thuận lợi và nhanh lành thương nhất.
IV, QUÁ TRÌNH PHẪU THUẬT RĂNG KHÔN DIỄN RA NHƯ THẾ NÀO?

Những điều cần biết về răng khôn - Nha Khoa Thùy Anh Thái Nguyên.
Nha sỹ sẽ tiến hành gây tê tại chỗ để đảm bảo không đau trong quá trình phẫu thuật. Thực hiện đường rạch, bóc tách lợi bộc lộ thân răng mọc ngầm. Nếu có xương che phủ đường ra của răng thì tiến hành giải phóng vùng xương này. Khi tạo ra đường phẫu trường và đường thoát đủ lớn thì có thể sử dụng bẩy để lấy răng ra. Trong nhiều trường hợp cần thực hiện thêm đường chia cắt thân răng, chia chân răng.
Tại Nha Khoa Thùy Anh phẫu thuật thường diễn ra trong khoảng 15 phút đến 1 tiếng tùy từng trường hợp khác nhau. Nha Sỹ có thể chỉ định khâu nhằm tạo điều kiện tốt nhất cho quá trình lành vết thương, khống chế chảy máu. Bênh nhân sau đó 7 ngày quay lại Nha Khoa Thùy Anh để cắt chỉ.
V. SAU PHẪU THUẬT NHỔ RĂNG KHÔN CÓ ĐAU KHÔNG?
Mức độ khó chịu phụ thuộc vào độ khó của chiếc răng khôn. Thường bệnh nhân sẽ hơi sưng, khó chịu trong vài ngày đầu. Điều quan trọng là cần theo dõi kỹ, cũng như nghe theo lời khuyên của nha sỹ, uống thuốc đầy đủ, sử dụng nước súc miệng sát khuẩn, ăn thực phẩm mềm, kiêng rượu bia...
Hiện nay nền nha khoa hiện đại có những bước tiến dài trong bộ môn phẫu thuật miệng. Nhổ răng khôn nếu thực hiện đúng chỉ định, đúng chẩn đoán, đủ phương tiện, hậu phẫu tốt thì hoàn toàn không có nguy hiểm.
Về vấn đề đau thì với thuốc tê Nha khoa hiện nay bạn sẽ không cảm thấy đau trong lúc thực hiễn phẫu thuật. Sau phẫu thuật, nếu bạn uống thuốc theo lời khuyên của Nha sỹ thì cơn đau chỉ là râm rỉ ở mức độ nhẹ.

Bài viết thuộc bản quyền Nha Khoa Thùy Anh, quý vị đăng lại xin trích dẫn nguồn-
Một số cảm nhận của khác hàng khi nhổ răng khôn tại Nha Khoa Thùy Anh Thái Nguyên
"Mình Có Tận 4 Chiếc Răng Khôn Mọc Lệch" - Nhổ răng khôn, nhẹ nhàng hơn bạn tưởng
"Nhổ răng buổi sáng, buổi tối mình đã ăn cơm được rồi" Cảm nhận khách hàng TẠI NHA KHOA THÙY ANH
Răng khôn đâm sang răng bên cạnh, dắt thức ăn và đau buốt